loader

Fyll ut skjema og bestill time

*Ved innsending samtykker du til personvernerklæringen

Periodontitt - Tannkjøttsykdom - Tannlege

Tveita Tannhelseklinikk

Hva er periodontitt?
Periodontitt er en betennelse i tennenes støttevev. Betennelsen kan skyldes dårlig munnhygiene, og gjør at kjevebenet rundt tennene brytes ned. Om tilstanden ikke behandles, kan det føre til at tenner løsner og må fjernes.

Tegn på periodontitt

Omlag 10 % av den voksne befolkning utvikler alvorlig periodontitt. Ved periodontitt er det få subjektive symptomer. Enkelte vil likevel kunne oppleve dårlig ånde og blødning fra tannkjøttet. Tannkjøttet vil også være noe ømt og hovent. Senere i sykdomsforløpet vil tenner kunne bli løsere, og eventuelt flytte på seg.

Utviklingen av periodontitt
Mangelfullt renhold kan gi en overfladisk betennelse i tannkjøttet (gingivitt). Tannkjøttet blir da hovent og får en mørkere rødfarge. Det vil også blø ved berøring og føles ømt. Dette skyldes bakterier og mykt belegg som blir liggende langs tannkronen (I).

figur I figur II figur III figur IV
 
Dersom belegget ikke fjernes, vil det over tid forkalkes og bli hardt. Det er dette vi kaller tannstein. Tannstein forsterker betennelsen som fører til at benet rundt tennene brytes ned (II). På denne måten vil tannstein og bakteriebelegg kunne strekke seg stadig lenger ned langs rotoverflaten (III). Bentapet kan over tid bli så omfattende at tenner løsner, og eventuelt må fjernes (IV).

Normalt går det mange år før en tann går tapt som følge av periodontitt. Av og til opplever man likevel hurtig nedbrytning av tannfestet. Dette skyldes spesielle bakterier, og det kan i slike tilfeller ofte være nødvendig med antibiotika.

Behandling av periodontitt



Tannlege eller tannpleier starter med en grundig undersøkelse der sykdommens alvorlighetsgrad kartlegges. Det lages deretter et individuelt tilpasset behandlingsopplegg.

God munnhygiene er en forutsetning for at behandlingen av periodontitt skal bli vellykket. Behandlingen vil derfor innledes med hygieneopplæring. Det blir da demonstrert korrekt børsteteknikk og gitt opplæring i bruk av hjelpemidler for renhold mellom tennene.

Neste behandlingstrinn består av å fjerne belegg og tannstein fra tennenes rotoverflate. Målet er å etterlate glatte rotoverflater, slik at det blir lettere å holde tennene rene.

Behandlingen er tidkrevende, og strekker seg vanligvis over flere tannlegebesøk. I enkelte tilfeller kan det være nødvendig med kirurgisk behandling for å få kontroll over periodontitten.

Plakk og tannstein dannes hele tiden. Etter endt behandling vil det derfor være nødvendig med kontroller og vedlikeholdsrens av tennene for å holde periodontitten i sjakk.

Selv om periodontittbehandlingen utføres korrekt og etter beste evne, kan man ikke utelukke at tenner kan gå tapt på sikt.

Andre forhold vedrørende periodontitt
  • Det er påvist at røyking fremskynder utviklingen av periodontitt, og gir et dårligere behandlingsresultat. Det er derfor anbefalt å slutte å røyke.
  • Stress, nedsatt immunforsvar, enkelte sykdommer og medisinbruk kan gjøre at nedbrytningen av kjevebenet skjer raskere. Arv er også en viktig faktor. Vær derfor ekstra oppmerksom dersom du vet at andre i familien har hatt problemer med tannkjøttet.
  • Etter folketrygdloven § 5-6, kan det gis stønad til systematisk behandling av periodontitt. Det kan også gis stønad til å erstatte tenner som er gått tapt som følge av periodontitt.

Tannlege på Tveita senter i Oslo når Haugerud, Hellerud, Trosterud, Bryn og oppsal

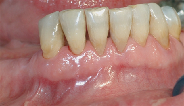
  • perio stor 1
    perio stor 1

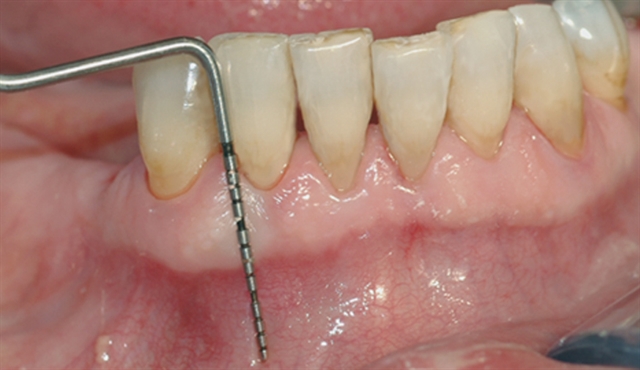
    Bildet viser tilsynelatende normale tannkjøttsforhold ved tenner i underkjeven.

  • perio stor 2
    perio stor 2

    En undersøkelse med lommeregistrering avdekker likevel et omfattende bentap ved den ene tannen.

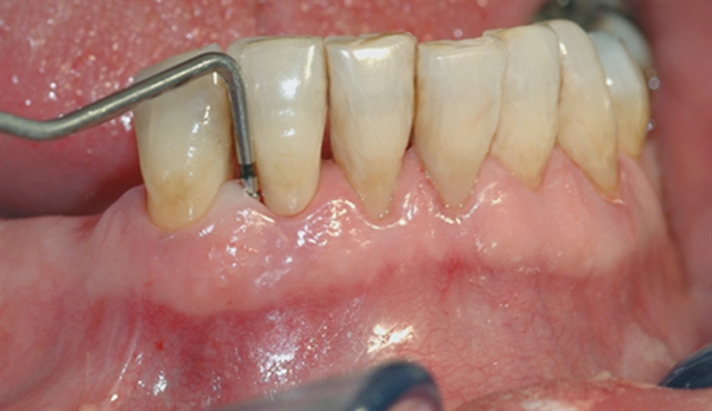
  • perio stor 3
    perio stor 3

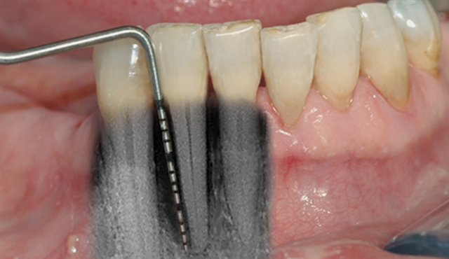
    Instrumentet er her lagt utenfor tannkjøttet for å vise hvor stort festetapet egentlig er.

  • perio stor 4
    perio stor 4

    Bentapet bekreftes av et røntgenbilde – skaden er her så stor at tannen må tas bort.

  • perio stor 5
    perio stor 5

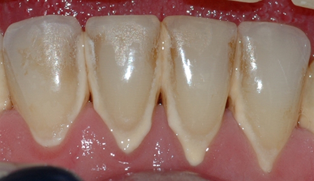
    Bildet viser et tannsett med synlig tannsten og misfarging.

  • perio stor 6
    perio stor 6

    Bildet viser et nærbilde av tennene i underkjeven med tannsten og misfarging.

  • perio stor 7
    perio stor 7

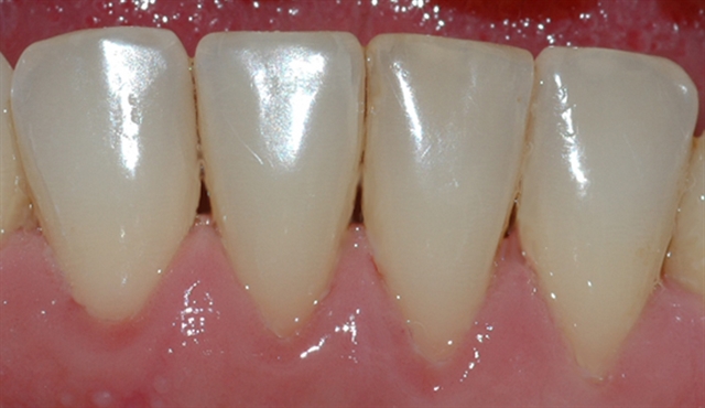
    Bildet viser forholdene i underkjeven etter at tannsten og misfarging er fjernet

loader