loader

Fyll ut skjema og bestill time

*Ved innsending samtykker du til personvernerklæringen

Bro

Tveita Tannhelseklinikk

Hva er en bro?
En bro er en tannrestaurering som kan brukes til å erstatte én eller flere tenner.

Framstilling av en bro
Dersom én eller flere tenner mangler (fig. I), kan disse i en del tilfeller erstattes ved hjelp av en bro. Tannlegen sliper og former til nabotennene, som skal fungere som feste for broen (fig. II). Det tas deretter et avtrykk, før de slipte tennene dekkes med en midlertidig bro. Etter 1 - 3 uker er den permanente broen ferdig, og kan sementeres fast på tennene (fig. III og IV). Broens farge og fasong er tilpasset de andre tennene, og resultatet blir derfor pent.

figur I figur II figur III figur IV
Prosessen med å lage en bro er krevende og teknisk vanskelig, både for tannlegen og tannteknikeren.

Hva er broen laget av?
Det finnes flere ulike typer broer med forskjellige egenskaper når det gjelder styrke og estetikk. De to vanligste typene er helkeramiske broer (rene porselensbroer) og broer med en innerkjerne av metall med porselen (keramisk materiale) brent utenpå.

Hvor lenge varer en bro?
Det er meningen at en bro skal vare i mange år. Likevel er det en del forhold som kan forkorte broens levetid:
  • Brudd på porselen: En bro blir ved tygging utsatt for store krefter. Uheldige belastninger kan over tid føre til at biter av porselenet knekker av. Dette har normalt ingen praktisk betydning, og kan i noen tilfeller repareres. Dersom funksjon eller estetikk forringes vesentlig, kan det være nødvendig å lage en ny bro.

  • Karies: Det kan ikke bli hull i selve broen. Derimot kan det bli hull i tannen nedenfor broens avslutning. Vanligvis kan slike hull repareres med en fylling, men dersom hullet er stort kan broen løsne eller festetennene knekke. Det vil da kunne være nødvendig med ny behandling.

  • Tannsmerter/ rotfylling: En del tenner med dype hull og store fyllinger kan etterhvert få redusert blodsirkulasjon i nerven. De er derfor mer utsatt for betennelser og infeksjoner som kan medføre tannsmerter. Dette gjelder også tenner som er beslipt og påsatt en bro. For å rotfylle en festetann i en bro, må man borre en åpning gjennom broen og inn til nerven. Åpningen tettes igjen med en fylling etter at tannen er ferdig rotfylt.

Dette bør man gjøre for å ta best mulig vare på broen:

1. Bruke tannbørste nøye, men skånsomt i tannkjøttkanten, slik at tannkjøttet ikke skades og trekker seg tilbake. En slitt tannbørste er lite effektiv. Bytt derfor tannbørsten når busten begynner å sprike.



2. Rengjøre også mellom tennene. Bruk tannstikker, tanntråd/superfloss eller mellomromsbørster mellom tennene i broen. Mellomromsbørster kommer i ulike størrelser, og brukes på tilsvarende måte som tannstikker. Tannlegen eller tannpleieren kan finne ut hvilken størrelse du bør bruke.
.



3. Unngå småspising mellom måltidene og redusere mengden sukker i kosten for å unngå karies i broens festetenner. Skyll også regelmessig med fluorskyll. Fluor styrker tennene, og er derfor viktig for forebygging av karies.

Tannlege Tveita, Hellerud, Trosterud, Haugerud, Oppsal, Bøler og Bryn
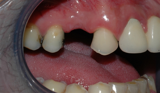
  • bro1_stor 1
    bro1_stor 1

    Bildet viser en manglende tann i overkjeven. Nabotennene har fyllinger og tilfellet egner seg derfor godt for brobehandling.

  • bro1_stor2
    bro1_stor2

    Bildet viser at den ferdige broen er sementert på plass. Form og farge passer godt med nabotennene.

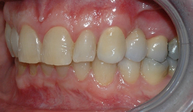
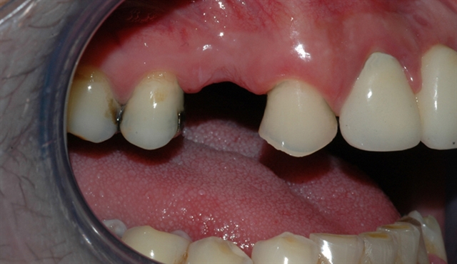
  • bro2 stor1
    bro2 stor1

    Bildet viser en manglende tann i overkjeven. Nabotennene har fyllinger og slitasje, og tilfellet egner seg derfor godt for brobehandling.

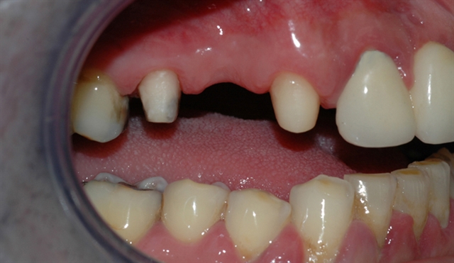
  • bro2 stor2
    bro2 stor2

    Festetennene slipes og klargjøres for broen.

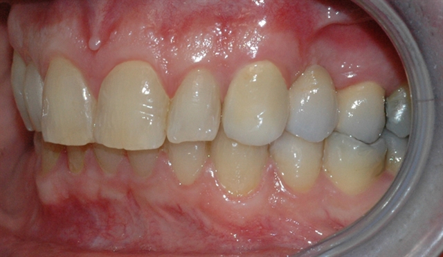
  • bro2 stor3
    bro2 stor3

    Bildet viser at broen er sementert fast og klar for bruk.

loader