Hva er et implantat?
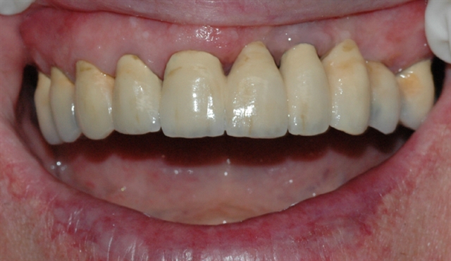
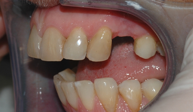
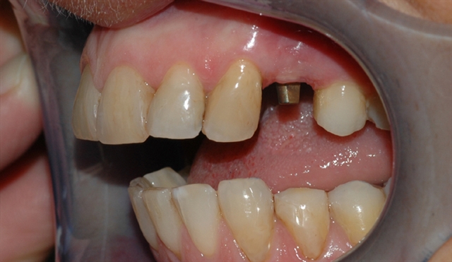
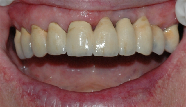
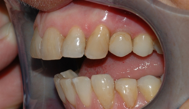
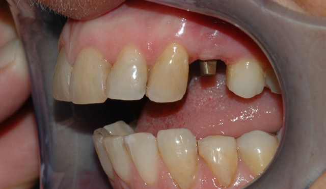
Et implantat er en liten skrue i titan som opereres inn i kjevebenet der det mangler en tann(fig I-II). I løpet av noen uker tilheler kjevebenet rundt implantatet, slik at implantatet kan fungere som feste for en tannerstatning, f.eks. en krone i porselen (fig. III-IV).
Moderne implantatbehandling er sikker og trygg behandling med svært god holdbarhet og prognose.
Implantatbehandling er en prosess som krever grundige forundersøkelser og nøye planlegging. Behandlingen strekker seg som regel over flere uker, og krever mange tannlegebesøk.
 fig I
| |  fig II
| |  fig III
| |  fig IV
|
Behandlingen trinn for trinn
1. Innsetting av implantat (fikstur)
Operasjonen utføres i lokalbedøvelse, og er smertefri. Resept på penicillin og smertestillende tabletter gis vanligvis før operasjonen. Etter inngrepet vil man motta mer utfyllende informasjon. Slik vet man hvordan man skal forholde seg i tiden etter operasjonen.
2. Tilhelingsperiode
Det tar vanligvis flere uker før implantatet kan belastes. Som regel er tilhelingsperioden kortere i underkjeven enn i overkjeven.
3. Montering av distanse
Distansen monteres som en forlengelse av implantatet, og skal fungere som feste for tannerstatningen.
4. Fremstilling og montering av tannerstatning
Dette krever to eller flere tannlegebesøk, alt etter hvilken type tannerstatning som skal lages.
Hva koster implantatbehandlingen?
Implantatbehandling er omfattende og kostbar behandling. Man bør derfor motta et skriftlig kostnadsoverslag før behandlingen starter. Generelt kan man si at prisen avhenger av antall implantater som skal settes inn og hvilken konstruksjon som skal festes til implantatene.
Implantatbehandling kan brukes til følgende:Erstatte én tann
Man unngår da å slipe ned nabotennene for å få feste til en vanlig bro. Dette er særlig en fordel der nabotennene er uten hull og fyllinger.
Erstatte flere tenner
Man kan da operere inn to eller flere implantater, og feste en keramisk bro på disse.
Erstatte alle tennene i kjeven
Implantatene vil da fungere som feste for en helprotese eller for en større keramisk bro. Denne typen konstruksjon har flere fordeler i forhold til en vanlig protese.
Hvem kan få implantater?
De aller fleste kan få satt inn implantater, og høy alder er i seg selv ingen hindring. En grundig forundersøkelse er likevel nødvendig før behandlingen settes i gang. Man tar røntgenbilder for å vurdere kjevekammens høyde og kvalitet. Munnhulen må være fri for infeksjoner og tannkjøttssykdom (periodontitt).
For å gjøre inngrepet så trygt som mulig, er det også viktig med oppdaterte helseopplysninger. Man må derfor gi beskjed om:
Mulige komplikasjoner ved implantatbehandling
Den første tiden etter innsetting av implantatet vil man kunne oppleve en viss hevelse og blåmerker i ansiktet. Dette er normalt, særlig dersom flere implantater settes inn på samme tid. Nummenhet i operasjonsområdet kan også forekomme, men dette er med svært få unntak forbigående.
Enkelte er disponert for å få tannløsningssykdom (periodontitt). Nedbrytning av kjeveben kan også forekomme rundt implantater og kalles da peri-implantitt. Dette kan i verste fall medføre at implantatet løsner og må fjernes.
For å få best mulig prognose må man:Ha kontroll på periodontitten før implantatbehandling utføres.
Slutte å røyke.
Holde grundig rent rundt implantatene. Husk at kravene til munnhygiene og regelmessige kontroller hos tannlegen er de samme som for naturlige tenner.
Den nye tannerstatningen utsettes daglig for store krefter ved tygging. Dette kan over tid føre til at biter av porselen eller plast knekker av. Dersom estetikk eller funksjon forringes vesentlig, kan det være nødvendig å fremstille en ny krone, bro eller protese.
Implantater - tannimplantater - Tannlege Tveita, Hellerud, Trosterud, Haugerud, Oppsal, Bøler og Bryn