loader

Fyll ut skjema og bestill time

*Ved innsending samtykker du til personvernerklæringen

Estetisk tannbehandling

Få penere tenner

 
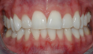
Tannbleking

Tannbleking

Ønsker man lysere tenner er det nødvendig med tannbleking.

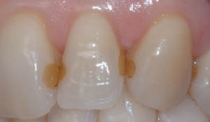
Fasetter

Fasetter

En fasett er et tynt skall av porselen som limes fast på tannens ytterflate.

loader